
Dentist in Mesa, AZ
Your Journey to a Healthier Smile Starts Here
At Brown Road Dental, we combine advanced technology with compassionate care to deliver exceptional dental services. From preventive checkups to cosmetic and restorative treatments, our experienced team is committed to your comfort and long-term oral health. We proudly serve the Mesa community with integrity, professionalism, and personalized attention—helping you achieve a confident, healthy smile that lasts a lifetime.
Learn More


MEET OUR EXPERT
Dr. John Cismas
Dr. Cismas is driven by a mission to provide exceptional dental care in a safe, welcoming, and professional environment. His patient-centered approach reflects his genuine passion for getting to know each individual and ensuring they receive the highest level of attention and care from every member of the dental team. His ultimate goal is to help patients achieve and maintain optimal oral health.
Learn More
Your Healthier Smile Is Just a Click Away
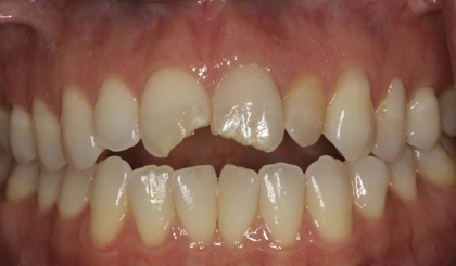
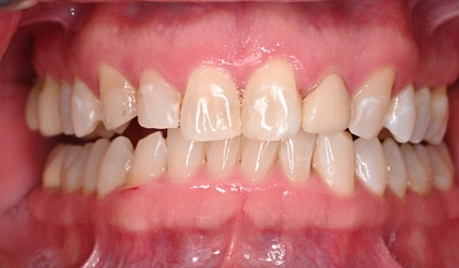
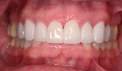
Before & Afters
Experience transformative dental care at Brown Road Dental. Our before & after gallery highlights advanced technology, expert craftsmanship, and personalized treatments designed to enhance your smile and boost confidence.
Our SERVICES
Brown Road Dental offers advanced preventive, cosmetic, and restorative dentistry. We deliver personalized care with clinical excellence, ensuring lasting results and optimal oral health for every patient we serve.
View All Services


















